Содержание
- Возможно ли удаление сразу несколько зубов?
- Техника удаления зубов
- Удаление нескольких зубов
- Зубы мудрости
- Осложнения
- Удаление зубов — отзыв
- Удаление зубов мудрости — удаляла сразу 2. Что сделала перед тем, как вырвать зуб мудрости. Цена? Была неприятно удивлена такой сумме, ведь вырывала зубы в бесплатной поликлинике! Проблемы: позже узнала, что это очень серьёзно и грозит СВИЩОМ в челюсти.
- Удаление зубов мудрости. кто удалял ОТзОВИТЕСЬ ПЛИЗ
- Сколько зубов можно удалить за один раз
- Особенности операции
- Сколько зубов врач может удалить за один прием?
- Послеоперационный уход
Можно ли удалить сразу 2 зуба мудрости
Возможно ли удаление сразу несколько зубов?
Зубы – один их самых хрупких органов нашего организма. Они требуют к себе внимания, постоянного ухода: раз в полгода необходимо посещать стоматолога с целью санации полости рта, каждые 3 месяца менять зубную щетку и удостовериться, что вы правильно владеете техникой личной гигиены. Эти простые манипуляции помогут Вам сохранить их здоровыми. Ведь, как говорится в народной шутке, «зубы даются человеку 2 раза бесплатно, а за 3 раз приходится платить» и, к сожалению, платить недешево.
Но, если вы уже проморгали период, когда болезнь можно было предотвратить и вам предстоит удаление, мы расскажем, можно ли удалять за одно посещение сразу два или более зуба.
Техника удаления зубов
Чтобы ответить на вопрос можно ли удалить 2 зуба, подлежащих удалению, сразу в одно посещение, нужно понять технику удаления и период реабилитации после манипуляции.
Существуют строгие показания к удалению:
- подвижность 3 степени;
- неподдающийся лечению периодонтит;
- если зуб является причинным в развитии периостита, остеомиелита;
- по ортодонтическим показаниям;
- разрушенная коронка более чем на 80%;
- зубы мудрости, растущие неправильно и травмирующие ткани;
- трещина, перелом корня.
Помимо показаний к удалению, существуют и противопоказания: они могут быть общие и местные. Общие противопоказания:
- острые инфекционные заболевания;
- острые аллергические заболевания, наличие в анамнезе анафилактического шока, отека Квинке, синдрома Лайела и т.д.;
- беременность (желательно не удалять в первом и третьем триместре);
- заболевания крови;
- заболевания внутренних органов в стадии декомпенсации;
- заболевания нервной системы в стадии обострения;
- менструация;
- психические заболевания в стадии обострения.
Лица, обладающие сразу несколькими противопоказаниями, должны быть направлены в стационар челюстно-лицевой хирургии для проведения оперативных вмешательств, особенно это касается зубов мудрости. Это обусловлено тем, что при возникновении осложнений для оказания помощи и сохранения жизни пациента должна поблизости присутствовать реанимационная бригада.
Удаление начинается с анестезии. Современная стоматология обладает огромным спектром местно анестезирующих препаратов, которые могут купировать болевой синдром на разные промежутки времени. После осуществления анестезии врач:
- Подбирает щипцы, они разные для верхней, нижней челюсти и для каждой группы зубов.
- Накладывает их на коронку.
- Продвигает до десны.
- Плотно фиксирует, чтобы во время удаления они не соскользнули и не повредили слизистую или другие органы полости рта.
- Начинается непосредственно удаление. Удаление осуществляется при помощи двух групп движений: люксации и ротации. Люксация – это вывыхивание зуба в наружную или внутреннюю сторону. Сторона вывиха зависит от того, с какой стороны костная пластинка тоньше. Далее осуществляется ротация – круговые движение. Это имеет важное значение, поскольку только так можно отсоединить зуб от удерживающих его связок, не повредив при этом костную лунку.
- После удаления врач осматривает операционное поле на наличие обломков, проводит ревизию костной лунки, чтобы там не осталось никаких частей, в последующем способных спровоцировать воспаление.
- Осуществляется сближение костных лунок.
В норме после удаления обязательно должно быть кровотечение продолжительностью 7-10 минут. Если рана кровоточит дольше, рекомендуется обратиться к врачу. На месте удаления, в лунке, сразу сворачивается кровь и образуется сгусток крови. Этот сгусток ни в коем случае нельзя насильственно удалять из лунки. Он необходим для правильного заживления процесса и предотвращения развития воспалительных заболеваний – альвеолитов. Через 30 дней на месте кровяного сгустка образуется грануляционная ткань. Еще через 20-30 дней она перевоплощается в соединительную ткань и выстилает поверхность костной лунки. Таким образом, уже через 2 месяца после удаления, лунка становится полностью здоровой и готовой к последующему замещению ортопедическими конструкциями.
Удаление нескольких зубов
Удаление, даже атравматичное, – это стресс для организма, тем более если это касается восьмых или, так называемых, зубов мудрости. Поэтому решать, можно ли удалять два своих зуба сразу, только Вам. Если Вы считаете, что ваш организм справится, то после консультации с врачом можете смело идти на удаление. Врач объяснить Вам все сложности, предложит правильную анестезию. Следует понимать, что для удаления сразу 2 зубов потребуется анальгезия на уровне стволовых структур более мощными анестетиками. Это вызовет более сильное, более продолжительное онемение, вплоть до нескольких часов.
Еще одним нюансом является то, что при множественном удалении, особенно зубов мудрости, необходимым может стать применение групп препаратов. Чаще всего назначаются антибиотики широкого спектра. Это связано с тем, что любая операция – это стресс, стресс приводит к снижению иммунной реактивности, что, в свою очередь, приводит к воспалительным заболеваниям полости рта, которые порой очень тяжело поддаются лечению. Если показано применение антибиотиков, то обязательным станет применение и пробиотиков, которые предотвратят развитие диареи и дисбактериоза. Помимо антибиотиков, можно принимать иммуномодуляторы, которые восстановят и простимулируют Ваш иммунитет.
Если перспектива более длительной реабилитации и необходимость приема препаратов Вас не пугает, то можете смело идти на удаление сразу двух зубов, даже мудрости.
Зубы мудрости
Совсем по-другому обстоит вопрос можно ли удалить сразу за одно посещение два зуба мудрости. Удаление зубов мудрости – это очень тяжелая манипуляция, которая требует от врача огромного количества сил, концентрации и навыков. И здесь уже вопрос не только в том, осилите ли Вы операцию по удалению зубов мудрости, но справится ли с такой нелегкой задачей сам врач. Корни у зубов мудрости крепкие, мощные, очень часто изогнутые, что еще сильнее затрудняет их извлечение из костной ткани. Операция осложняется и тем, что костная ткань в этой области более мощная, площадь контакта увеличивается, соответственно, и сила прикрепления возрастает. Тяжело обеспечить и анестезию в этой области. Понадобится стволовая анестезия с двух сторон, что граничит с возможными осложнениями, опасными для жизни.
Осложнения
Процесс удаления может вызвать ряд осложнений. Все осложнения делятся на возникающие во время и после операции.
Осложнения во время удаления:
- вывихивание, перелом соседнего зуба;
- трещина или перелом челюсти, чаще нижней. Происходит из-за чрезмерной физической силы, которую прилагает врач;
- проталкивание корней зубов верхней челюсти в гайморову пазуху;
- нарушение целостности лунки;
- вывих височно-нижнечелюстного сустава;
- травма слизистой полости рта, десен, губ, языка.
Удаление зубов — отзыв
Удаление зубов мудрости — удаляла сразу 2. Что сделала перед тем, как вырвать зуб мудрости. Цена? Была неприятно удивлена такой сумме, ведь вырывала зубы в бесплатной поликлинике! Проблемы: позже узнала, что это очень серьёзно и грозит СВИЩОМ в челюсти.
Удаление зуба мудрости в моём случае было необходимой процедурой.
Удаляла 2 зуба мудрости сразу. Расположены они были с одной стороны.
Снимок зубов:
Разместила его в коллаж, так как качество у снимка не для полноценного фото.
Итак, причины удаления:
1) Нижняя восьмёрка (зуб не вырос полностью, выглядывал только кусочек).
— Пришлось его удалить, так как направление роста зуба мудрости было в скулу.
— И к тому же из-за этого зуба постепенно происходило смещение всех зубов.
Уже даже перестала проникать между зубами нижнего ряда самая тоненькая зубная нить, настолько они размещались плотно. Зубной ряд сместился.
2) Верхняя восьмёрка (он не вырос и даже не «проклюнулся»).
Удаляла эту восьмёрку, спасала семёрку.
Когда увидела свой панорамный снимок челюсти (делала его впервые), была очень удивлена и сильно расстроилась.
До этого даже не знала, что такой снимок существует.
Жалею, что не сделала его раньше.
Почему расстроилась: верхняя восьмёрка росла абсолютно в другом направлении (ощущение, что начало в гайморовой пазухе) и уже начала упираться/толкать семёрку.
По снимку видно, что даже истончила (как сказал врач «съела». Хм. аж страшно приставить «зубы с зубами») корень семёрки.
Как сказал доктор, если бы узнала о такой проблеме позже, зуб/семёрка был бы уже с кариесом изнутри, и его сложно было бы спасти.
Так что, хочешь, не хочешь, а выхода другого уже не было – только рвать.
Вырывали мне зубы впервые.
Настраивалась я 2 месяца, страх был «дикий». Трясло всё это время очень сильно.
За этот период изучила множество форумов, отзывов в интернете.
Страх всё усиливался.
! Больше всего боялась:
Скорее, не сам укол, а последствия – повреждение лицевого нерва и потери чувствительности.
- Потерять и здоровые зубы.
Читала несколько отзывов людей, которым инструментом, вырывая/вытягивая зуб, сломали и соседний.
Что сделала перед тем, как вырвать зуб мудрости:
1. Чистка зубного камня (снятие зубного камня и удаление зубного налета).
Как сказал мой стоматолог, да и сама читала про это в статьях, перед лечением зубов, а тем более, перед тем как рвать зубы, эта процедура необходима!
- Во-первых, убрать микробы, минимизации возникновения осложнений при операции.
- Во-вторых, при лечении зубов: стоматолог быстро найдёт причину, кариес (пишу своими словами).
2. Поставила все необходимые пломбы и по мере необходимости заменила старые.
3. Консультация с хирургом (челюстно-лицевой хирург). Конкретно с врачом, который рвал мне зубы.
Вырывала зубы в главной поликлинике города:
- доктор спросил про аллергию.
- рассказал как будет проходить операция.
Рисовал челюсть и как он будет делать надрезы. Лучше бы он этого не делал, стало ещё страшнее, чем до этого.
- посоветовал не рвать зубы во время месячных.
- написал какие лекарства купить на операцию.
Сумма получилась высокая, около 2 тысяч гривен – 7 тысяч рублей. Все эти лекарства, по три упаковки каждого наименования, отдала врачу перед самой операцией.
Удивило и расстроило, что к ним он не притронулся. Даже не знаю, может продаст или сдаст эти лекарства снова в аптеку и получит деньги.
Для меня это осталось загадкой!
Плюс «за работу», лично в руки — 1 тыс.грн./3,5 тыс.руб.
! Сколько стоит удалить зуб:
Итого, вырвать два зуба мне обошлось в 3 тысячи гривен (10,5 тыс.руб ).
Честно сказать, была неприятно удивлена такой сумме, ведь вырывала зубы в бесплатной поликлинике.
- порекомендовал какие лекарства купить домой и использовать их уже после операции.
* * * Домашнее лечение, по совету врача: * * *
1. До операции и после операции «Аскорутин» — 2 таблетки в день, утром и вечером. В течение месяца.
2. Противомикробное. Пила антибиотик «Ципрофлоксацин» — 2 раза в день, в течение 5-ти дней.
Толку от этих таблеток было ноль, воспалился лимфоузел.
Помог тогда антибиотик «Амоксиклав»!
3. Противоаллергическое «Лоратадин» – 1 раз на ночь, в течение 3-х дней.
4. И ещё обезболивающее «Нимесил» или «Найз» — по мере надобности.
5. Чтобы избежать отёка, мазать щеку троксевазином или троксегелем.
! Врач дал также рекомендации:
- В первый день не чистить зубы и не полоскать рот. Затем полоскать, полоскать и полоскать травами – очень часто!
- Аккуратно сморкаться.
- Первые два дня не пить горячее и не пить через трубочку (чтобы не спровоцировать кровотечение).
! Купила себе, перед операцией, стоматологические зеркала: стандартное и увеличительное.
Очень выручали, помогали наблюдать за верхней лункой: как затягивается, не воспалена ли?
Сама операция:
Через неделю пошла на операцию. Взяла с собой панорамный снимок зубов.
Дома плотно позавтракала, но заранее. Не знала, что так долго буду ждать.
Выпила валерьянку в таблетках.
Из кабинета (отделение челюстно-лицевой хирургии) выходили «раненные», то есть те, кому уже вырвали зуб. Лучше бы этого не видеть!
Когда пришла моя очередь, челюсть стучала так (валериана не помогала), что боялась, что откушу несколько пальцев хирурга.
Перед операцией антибиотик и обезболивающее мне не кололи.
••♦•• Анестезия – ультракаин.
В моём случае это был самый болезненный укол за всю мою жизнь.
Игла была длинная, доктор колол/загонял её так глубоко и как-то небрежно, что мне казалось, что фонтанчик бьёт через щеку. Дома даже искала проколы на щеках.
Через минут пять всё занемело.
••♦•• Удаление нижней восьмёрки – дистопированный зуб (с поворотом).
Разрезал. То, что крови было много, лучше промолчу.
Начал «долбить» — зуб не сдавался, чем-то зацепился. Ощущение, что задача этого хирурга – огромным молотом расколоть череп. Каждый удар – это кошмар, отдавал в уши (скажу и так – в мозг) с неимоверной силой.
Даже не знаю с чем сравнить.
Чего боялась, что и получила: когда «долбил» эту восьмёрку, инструмент соскочил и ударил семёрку!
Удар и сила/натиск врача были настолько сильными, что чуть не упала со стола. Попросил медсестру подержать мне голову, до этого никто её не держал. Сказать, что медсестра помогала/держала, не могу. Скорее всего, просто об меня упёрлась, чтобы не так ей было тяжело стоять.
Потратил врач на первый зуб минут 10.
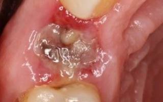
Положил в лунку вещество и зашил. Нитки использовал саморассасывающие (швы рассосались день на седьмой).
Когда зашивал, было не больно.
••♦•• Удаление верхней восьмёрки – ретенированный зуб, дистопированный (рос не в том направлении).
Ретенированный (от лат. retentio — удерживание, сдерживание, останавливание, задержание, сохранение ) зуб — зуб, который будет не в состоянии прорезаться должным образом, так как полностью или частично закрыт костью или тканью десны.
Дистопированный зуб — зуб, занимающий неправильное положение в зубном ряду (наклон, вне зубного ряда).
В чём минус, недостаток, когда вырываешь два зуба сразу – много крови, остановить он её не может, а рвать то надо. В общем, делал «на ощупь».
Но ничего, второй зуб сдался сразу, несмотря на то, что сидел глубоко в десне.
Потратил доктор на второй – минут 7.
••♦•• Перфорация, проверка (выходит ли воздух через лунку, минуя шов).
Верхний зуб сидел так высоко, что, как я поняла, корнями, действительно, задевал гайморову пазуху.
Суть проверки: набрать воздух в рот, зажать нос и потихонечку/осторожно выдувать воздух.
И вот при этой процедуре воздух не должен выходить из лунок.
Увы, в моём случае, воздух из лунки «валил» только так, бульбы/пузыри надувались огромные.
На что врач сказал, перешивать не буду, мне вверху неудобно!
Позже узнала, что это очень серьёзно и грозит свищом в челюсти.
После операции
Сидела в коридоре. Кровило очень сильно. Сейчас понимаю, что нужно было заменить их бинтик (размер положили 5см на 5 см, за что платила — не ясно) на больший объём, как бы рулончик потолще, и зажать его челюстью. Но бинтика не дали.
Даже не дали лёд, чтобы избежать отёка!
Сидела, как и сказал, около часа в коридоре. Не могла остановить кровь, мучилась.
Затем он посмотрел и сказал идти домой (мол, всё нормально) – не понятно, зачем ждала…
Дома сразу же сменила бинтик (скрутила тампон из бинта), сильно его прикусила. Приложила лёд (прикладывала его к щеке каждые 30 минут на несколько минут).
Бинтик время от времени меняла. Через часов 4 кровотечение приостановилось.
Всё присматривалась, не задет ли лицевой нерв. Слава Богу, обошлось.
Смотрела и на семёрку, вроде бы нормально, а там кто его знает, чем удар аукнется.
Анестезия прошла через 3 часа.
Приняла обезболивающее «Нимесил».
! Вечер того же дня.
Потихоньку из лунок кровило.
На ночь выпила ещё обезболивающее.
Сшила себе чехол на подушку из полотенца, для того, чтобы не замарать подушку кровью.
Старалась не спать на той стороне, где вырвали зубы.
Второй день
Бульбы:
Весь день беспокоили пузыри из воздуха из верхней лунки.
Появлялись они от любого вздоха.
Если же не дай Бог чихнул, вообще — катастрофа.
Чистка зубов:
Рот открывался совсем слабо. Щёткой обычной до семёрок не достать.
Нашла решение, спасла электрощётка: не нужно бояться, что от движений туда-сюда можно задеть раны. Включил и держишь себе над каждым зубом.
После чистки зубов держала во рту хлоргексидин.
Также обрабатывала им каждый раз щётку, до и после.
Полоскала осторожно в течение дня травами:
Кстати, кора дуба отлично красит ресницы, брови, волосы. Также избавляет от жирности кожи и укрепляет ногти!
Губы:
Во время операции хирург инструментом сильно повредил мне губы. Да уж, странное предложение получилось.
Продолжу, на губах было несколько ран, раны немного кровили. Да к тому же, губы ещё и опухли. Спасла регенерирующая мазь.
Нос:
Большой неприятностью на второй день стало то, что нос перестал дышать.
Это просто мучение. Постоянно открыт рот. Нос «пересох».
Спать так – кошмар.
Связываю я это с тем, что корни касались гайморовой пазухи, остался открытый проход. А лунку зашил врач «на отвяжись».
Что только не делала. Нос задышал только через месяц!
! Неплохо помогало увлажнять, к концу месяца, закапывание в нос масла персиковых косточек (по совету врача).
Удаление зубов мудрости. кто удалял ОТзОВИТЕСЬ ПЛИЗ
чтобы поставить брекеты надо удалить 2 нижние 8-ки((((((( Посоветуйте,можно ли удалить 2 сразу(с 2-ух сторон) .
И у всех ли опухает лицо. я так боюсь этого!(((((((((((((((((((
Я УДАЛИЛА 3 ЗУБЫ МУДРОСТИ! остался одЫн))))
Автор, всё зависит от расположения зубов мудрости (даже в «зародышевом» состоянии). у меня нижний левый буквально ЛЕЖАЛ! упираясь в 7ку. из-за этого не так всё было просто и пришлось разрезать десну вдоль щеки, рассверливать его и по кускам собирать. было не больно, просто потом отек был сильный, недели две спадал. + наложили ещё 4 шва. с остальными зубами было всё быстро, отеки были, но не совсем заметные. по-моему сразу в один день два удалять — это чересчур, лучше сделать хотя бы недельную паузу.
А зуб мудрости и «восьмерки» -это разве одно и тоже? думала, что «восьмерки»-это коренные зубы
да, это одно и то же.
Я УДАЛИЛА 3 ЗУБЫ МУДРОСТИ! остался одЫн))))
Автор, всё зависит от расположения зубов мудрости (даже в «зародышевом» состоянии). у меня нижний левый буквально ЛЕЖАЛ! упираясь в 7ку. из-за этого не так всё было просто и пришлось разрезать десну вдоль щеки, рассверливать его и по кускам собирать. было не больно, просто потом отек был сильный, недели две спадал. + наложили ещё 4 шва. с остальными зубами было всё быстро, отеки были, но не совсем заметные. по-моему сразу в один день два удалять — это чересчур, лучше сделать хотя бы недельную паузу.
Я УДАЛИЛА 3 ЗУБЫ МУДРОСТИ! остался одЫн))))
Автор, всё зависит от расположения зубов мудрости (даже в «зародышевом» состоянии). у меня нижний левый буквально ЛЕЖАЛ! упираясь в 7ку. из-за этого не так всё было просто и пришлось разрезать десну вдоль щеки, рассверливать его и по кускам собирать. было не больно, просто потом отек был сильный, недели две спадал. + наложили ещё 4 шва. с остальными зубами было всё быстро, отеки были, но не совсем заметные. по-моему сразу в один день два удалять — это чересчур, лучше сделать хотя бы недельную паузу.
Блин, вспомнила ещё, что после операции (особенно сложно первой) боли сильные были, пила Кетанов и антибиотики, только это меня и спасало)
блин страшно как теперь! пол года назад была у стамотолога. выросший верхний зуб мудрости портится. лечить и смысла нет и невозможно, он вырос перпендикулярно остальным в щеку смотрит. врач сказала решаться и удалять. до сих пор решаюсь
Верхние не больно вообще!!
Автор, скорее всего, вам удалят их одновременно. Понятно, вы сейчас на взводе, но особенно не берите в голову: у всех по-разному. У меня две восьмёрки удалили ещё в школе, а последнюю — в студенчестве, во время сессии. Обезболивающие таблетки не пил вообще, но много спал.
Оглядываясь назад: не столько больно, сколько страшно.
Я удалила за один визит к врачу 2 зуба мудрости, но верхних. Хирург объяснил, что у верхних зубов мудрости один корень, вырывается на ура! Пломбу ставить больнее. Раз и вырвал. Только надо к мужчине-хирургу идти, у него сила должна быть физическая, тетки слабее, дольше возятся. А нижние зубы мудрости, врач объяснил, имеют больше корней, нервных окончаний — там удалять сложнее.
Автор, вам такую мощную заморозку сделают-мамонта свалить, ничего не будете чуствовать. Потом заморозка начнет отходить-начнет ныть, выпьете нурофен и т.п. У меня даже температура поднялась. Удалять лучше вечером, чтобы придти домой и спать лечь. Удаляйте 1 зуб сначала, чтобы жевать другой стороной 🙂 Лунка у меня ныла ровно 2 недели, полоскала спиртовым раствором ромашки каждые 15 минут. Лучше швы наложить на лунку, потому что иначе там будет застревать пища. Мне не наложили, вроде надобности не было, и таааак воняло потом, я рта не раскрывала при людях.
У вас 8-ки вылезли? Не кариозные? Тогда проще вырвать. Если зуб кариозный, крошится, то хирургу не за что ухватиться и он вырывает по частям- хуже. Если в десне 8-ки сидят, то нужно разрезать десну, доставать-потом опухнет щека. У меня коллега так неделю на больничном сидела.
Я удалила за один визит к врачу 2 зуба мудрости, но верхних. Хирург объяснил, что у верхних зубов мудрости один корень, вырывается на ура! Пломбу ставить больнее. Раз и вырвал. Только надо к мужчине-хирургу идти, у него сила должна быть физическая, тетки слабее, дольше возятся. А нижние зубы мудрости, врач объяснил, имеют больше корней, нервных окончаний — там удалять сложнее.
Автор, вам такую мощную заморозку сделают-мамонта свалить, ничего не будете чуствовать. Потом заморозка начнет отходить-начнет ныть, выпьете нурофен и т.п. У меня даже температура поднялась. Удалять лучше вечером, чтобы придти домой и спать лечь. Удаляйте 1 зуб сначала, чтобы жевать другой стороной 🙂 Лунка у меня ныла ровно 2 недели, полоскала спиртовым раствором ромашки каждые 15 минут. Лучше швы наложить на лунку, потому что иначе там будет застревать пища. Мне не наложили, вроде надобности не было, и таааак воняло потом, я рта не раскрывала при людях.
У вас 8-ки вылезли? Не кариозные? Тогда проще вырвать. Если зуб кариозный, крошится, то хирургу не за что ухватиться и он вырывает по частям- хуже. Если в десне 8-ки сидят, то нужно разрезать десну, доставать-потом опухнет щека. У меня коллега так неделю на больничном сидела.
Я удалила за один визит к врачу 2 зуба мудрости, но верхних. Хирург объяснил, что у верхних зубов мудрости один корень, вырывается на ура! Пломбу ставить больнее. Раз и вырвал. Только надо к мужчине-хирургу идти, у него сила должна быть физическая, тетки слабее, дольше возятся. А нижние зубы мудрости, врач объяснил, имеют больше корней, нервных окончаний — там удалять сложнее.
Автор, вам такую мощную заморозку сделают-мамонта свалить, ничего не будете чуствовать. Потом заморозка начнет отходить-начнет ныть, выпьете нурофен и т.п. У меня даже температура поднялась. Удалять лучше вечером, чтобы придти домой и спать лечь. Удаляйте 1 зуб сначала, чтобы жевать другой стороной 🙂 Лунка у меня ныла ровно 2 недели, полоскала спиртовым раствором ромашки каждые 15 минут. Лучше швы наложить на лунку, потому что иначе там будет застревать пища. Мне не наложили, вроде надобности не было, и таааак воняло потом, я рта не раскрывала при людях.
У вас 8-ки вылезли? Не кариозные? Тогда проще вырвать. Если зуб кариозный, крошится, то хирургу не за что ухватиться и он вырывает по частям- хуже. Если в десне 8-ки сидят, то нужно разрезать десну, доставать-потом опухнет щека. У меня коллега так неделю на больничном сидела.
У меня тоже теперь такой запах ужасный, когда это пройдет.
Сколько зубов можно удалить за один раз
Удаление зубов – это одна из наиболее часто выполняемых стоматологических процедур. Зубы удаляют и взрослым и детям. Стоит заметить, что современная стоматология позволяет вылечивать даже самые запущенные случаи, поэтому врачи всеми силами стараются спасти больной зуб, но если это невозможно, то приходится избавляться от него. Многие пациенты, которым требуется эта процедура, интересуются: сколько зубов можно удалить за один раз и стоит ли вырывать сразу несколько штук? Разберем этот вопрос более подробно.
Особенности операции
Удаление зубов – это стоматологическая операция, которая по-научному называется экстракцией. Процедура обычно проводится с применением местной анестезии, а в определенных случаях используется общий наркоз. При осмотре пациента врач определяет, можно ли вылечить проблемный зуб или единственным вариантом является его удаление, и решает, сколько зубов можно вырвать за один раз. Существует плановая и экстренная экстракция. Плановое удаление назначается в тех случаях, когда зубы не подлежат лечению, неправильно расположены, травмируют ротовую полость, препятствуют росту соседних зубов, а также для подготовки к протезированию. Экстренная экстракция показана в случае развития острых воспалительных процессов.
Выделяют простую и сложную экстракцию. Простая экстракция – это обычная процедура удаления зуба, а сложная – это удаление сломанных, непрорезавшихся зубов или зубов, имеющих длинные или переплетенные между собой корни. Сложная экстракция занимает больше времени, нежели простая и требует применения дополнительных стоматологических инструментов или более серьезной анестезии.
При сложных случаях удалять более 1 зуба не рекомендуется
Сколько зубов врач может удалить за один прием?
Обычно стоматолог удаляет только один зуб за один раз. Если пациент нуждается в экстракции нескольких зубов, врач проводит процедуру за несколько посещений. Но иногда возникает необходимость удалить несколько зубов сразу. Например, если два соседних зуба не подлежат лечению, врач может удалить сразу оба.
Не существует какого-то определенного ограничения на количество зубов, которые возможно удалить за один раз. Здесь все зависит от состояния больных зубов, индивидуальных особенностей организма, здоровья и самочувствия пациента, а также его личного желания. Перед проведением процедуры врач определяет, количество зубов которые будет удалять за этот прием и обсуждает этот вопрос совместно с пациентом.
Экстракция зубов – довольно травматичная операция, и если вырвать сразу несколько штук, то в ротовой полости образуется большая раневая поверхность, а это чревато осложнениями. Чем меньше раневая поверхность, тем меньше риск попадания в рану инфекции и короче период заживления. Если больные зубы расположены с разных сторон, то лучше не удалять их за один раз, иначе пациент не сможет нормально пережевывать пищу ни на одной стороне, пока раны не заживут.
Молочные зубы у детей вырывать проще, и раневая поверхность после процедуры заживает быстрее, поэтому стоматологи могут вырвать 2–3 молочных зуба сразу, но перед процедурой врач оценивает состояние ротовой полости ребенка и только тогда определяет число зубов для удаления за это посещение.
Во время сложной экстракции допускается удаление только одного зуба, поскольку эта процедура требует много времени и усилий, а на месте изъятого зуба образуется довольно глубокая рана, которая долго заживает и нуждается в более тщательном послеоперационном уходе.
Детям опытный стоматолог может удалить сразу и 2 и 3 молочных зуба
Послеоперационный уход
- После удаления зуба стоматолог вставляет в лунку ватный тампон для остановки кровотечения. Через 20 минут после операции тампон можно извлечь и выбросить.
- После экстракции зуба в течение часа нельзя пить, а в течение двух-трех часов – принимать пищу. В день операции запрещается употреблять алкоголь и курить. В последующие несколько дней можно есть только жидкую и мягкую, негорячую пищу и не делать резких жевательных движений.
- Некоторые люди после экстракции зуба полощут рот травяным настоем, содовым раствором или зубным эликсиром для скорейшего заживления ранки. Этого делать не стоит,
- поскольку полоскание может нарушить кровяной сгусток, который формируется после остановки кровотечения.
- После проведения сложной экстракции или удаления зуба мудрости врач, как правило, назначает пациенту контрольный осмотр. Нужно обязательно сходить на этот осмотр, чтобы проверить, насколько хорошо протекает процесс заживления.
- Если на второй-третий день после операции у пациента наблюдается усиление боли, появляется отек десны, повышается температура или ощущается неприятный запах изо рта, то следует незамедлительно обратиться к врачу, чтобы вовремя остановить патологический процесс и избежать дальнейших осложнений.
Грамотный уход за полостью рта, правильное питание и регулярное посещение стоматолога поможет сохранить здоровье зубов и избежать неприятной процедуры их удаления.
